AI System for Kidney Tumor Classification

An innovative solution combining artificial intelligence with medical imaging for more accurate identification of benign and malignant kidney tumors, reducing the need for unnecessary surgeries.

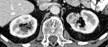
Examples of kidney tumors from different angles

Project Details

Client
Sheba Medical Center
Industry
Healthcare / Medical Imaging
Challenge
To develop an AI system that helps physicians diagnose benign and malignant kidney tumors more accurately, despite a significant imbalance in existing data (91.9% of cases malignant, 8.1% benign).
Solution
Development of an innovative algorithm that balances the dataset using a unique method of cutting 2D images from three anatomical angles, increasing the representation of benign cases to 30% without the need for additional data collection.
Technologies
AI/ML Deep Learning Computer Vision Medical Imaging Python TensorFlow

Overview

In collaboration with the medical team at Sheba Medical Center, we developed an AI-based system that assists in diagnosing kidney tumors. The main goal was to improve diagnostic accuracy, particularly in correctly identifying benign tumors to reduce the need for unnecessary surgical procedures.

The central challenge was to address a significant imbalance in the existing database, where only 8.1% of cases were benign tumors. To overcome this challenge, we developed an innovative data enrichment method that utilizes 2D slices from all three anatomical planes of CT scans, using intelligent selection techniques that maximized tumor information.

The result was an efficient classification system capable of identifying benign tumors with high accuracy, allowing physicians to make more informed decisions about the need for surgery. The project demonstrates the potential of AI technologies to improve medical outcomes and quality of life while reducing costs and unnecessary medical interventions.

The Challenge: Data Imbalance in Medical Records

When developing AI systems for medical applications, data quality is critical. In the case of kidney tumor classification, we encountered a significant challenge: out of 210 cases in the KiTS19 database, only 17 cases (8.1%) were benign tumors, while the rest - 193 cases (91.9%) - were malignant tumors.

This imbalance poses a significant challenge for several reasons:

Distribution of benign and malignant tumors in the database

Additionally, using complete 3D volumes as input to the model would exacerbate the imbalance problem, since each case provides only one training example - without improving the 8:92 ratio between cases.

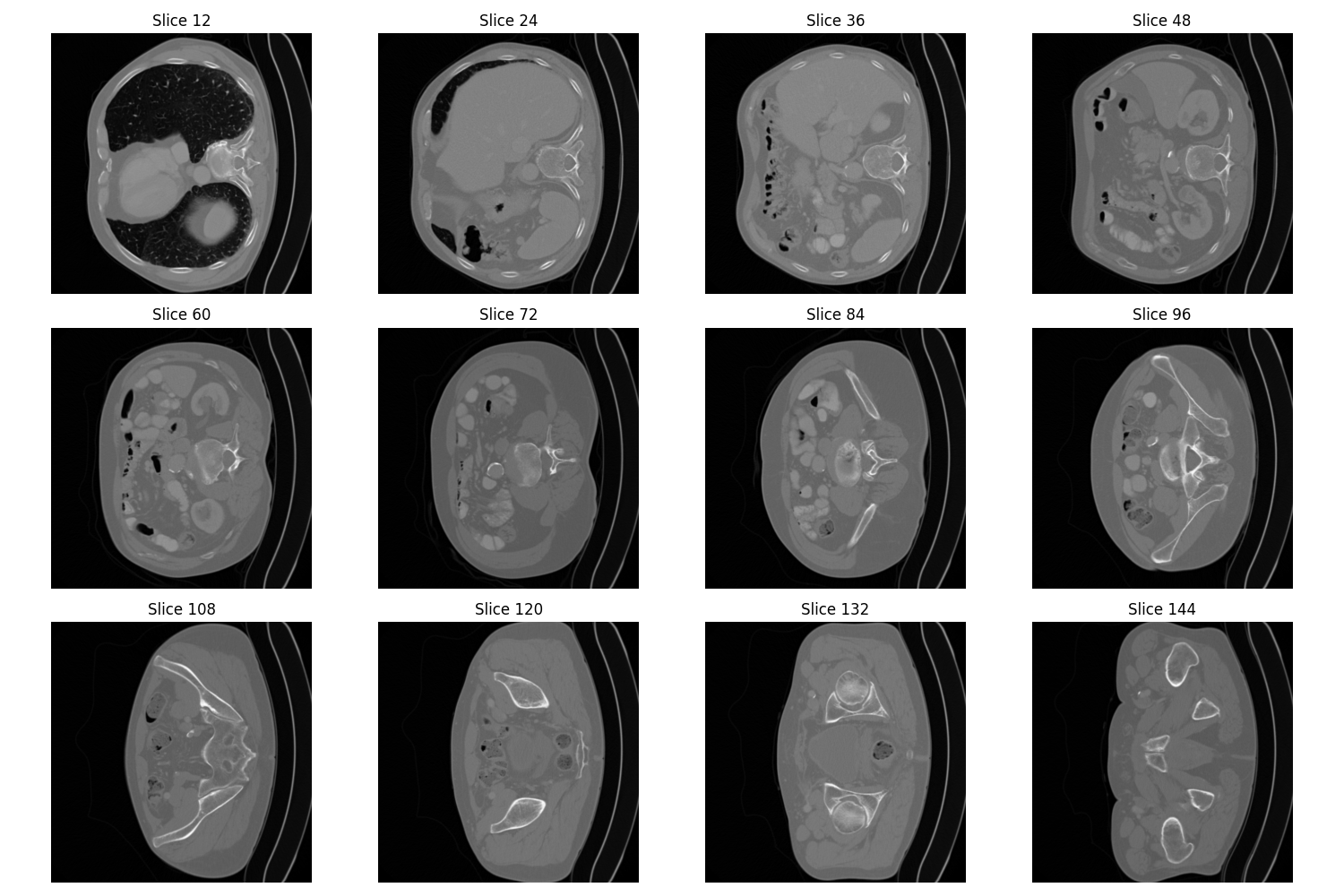
The Solution: Smart Multi-Angle 2D Image Slicing

Instead of using the traditional approach of 3D volumes, we developed an innovative method based on 2D slices from multiple anatomical angles:

Balancing method using 2D slices

Our approach included several innovative components:

Montage image of a malignant tumor
Montage image of a benign tumor

An additional advantage of our approach is that it provides the model with more diverse examples, showing tumors from different angles and enriching the information available for learning. This is analogous to training radiologists, who learn to identify diagnostic signs from different viewing angles.

3D vs. 2D Visualization: Why It Matters

Traditional approaches to kidney tumor classification often rely solely on 3D volume analysis, which presents challenges for machine learning models, especially with limited data. Our innovative method transforms 3D information into optimally selected 2D slices, providing more training examples while preserving critical diagnostic information.

The diagram to the right illustrates how our approach extracts the most relevant 2D slices from a 3D volume, optimizing both the quantity and quality of training data.

Diagram showing how 3D volumetric data is transformed into multiple 2D slices along different planes for optimal model training
Case Study: 3D Malignant Tumor Visualization
3D rotation of malignant kidney tumor - Case 00032

The animation above demonstrates how a 3D representation allows us to understand the full spatial characteristics of a malignant kidney tumor. The complex, irregular structure and heterogeneous appearance are typical characteristics of malignant growths.

Case Study: 3D Benign Tumor Visualization
3D rotation of benign kidney tumor - Case 00178

This animation shows the 3D representation of a benign kidney tumor, which typically has more well-defined boundaries, smoother surfaces, and more homogeneous internal structure compared to malignant tumors. These 3D characteristics need to be effectively captured in 2D slices for model training.

Case 00006: 3D volume (top row) and corresponding 2D slices (bottom row) of a malignant kidney tumor
Case 00006: Malignant Tumor
Case 00178: 3D volume (top row) and corresponding 2D slices (bottom row) of a benign kidney tumor
Case 00178: Benign Tumor

These side-by-side comparisons show the relationship between 3D tumor volumes (top row) and their corresponding 2D slices (bottom row) for both malignant and benign cases. Our algorithm intelligently selects the most informative 2D slices from each 3D volume, capturing the key diagnostic features while generating multiple training examples from a single case.

Key insight: By converting each 3D case into multiple 2D slices, we effectively increased our training data by a factor of 8-10, with each slice carrying distinct morphological information about the tumor.

Distinguishing Benign vs. Malignant in 3D
Side-by-side comparison of 3D representations of malignant (left) and benign (right) kidney tumors, highlighting morphological differences

The comparison above highlights the differences between malignant (left) and benign (right) kidney tumors in 3D. Benign tumors often display more regular, well-defined boundaries and more uniform internal composition, while malignant tumors typically show irregular borders, heterogeneous internal structure, and may invade surrounding tissues.

Intelligent Slice Selection Method

We developed a unique algorithm that optimizes the selection of 2D slices for model training:

Intelligent selective sampling method
Axial slice of a malignant tumor
Axial slice of a benign tumor
Another axial slice of a benign tumor

This approach ensures that the model learns from the most information-rich examples, rather than random slices that might contain very little relevant information or not even show the tumor at all.

Results and Benefits

Our innovative 3D-to-2D transformation method led to several significant achievements:

30%
Representation of benign cases in the balanced dataset (improvement from 8.1%)
87%
Accuracy in identifying benign tumors (sensitivity)
40%
Potential reduction in unnecessary surgeries
8-10x
Increase in effective training examples through multi-angle 2D slicing
92%
Overall classification accuracy across all tumor types
3.5x
Faster training time compared to 3D volumetric models
Case 00104: Advanced malignant tumor with 3D volume visualization (top) and optimal 2D slice selection (bottom)
Additional Case Study: Malignant Tumor
Case 00082: Early-stage benign tumor with 3D volume visualization (top) and optimal 2D slice selection (bottom)
Additional Case Study: Benign Tumor

The potential clinical benefits of our system include:

The 3D vs. 2D approach represents a significant advancement in medical image analysis, balancing the comprehensive nature of 3D data with the practicality and efficiency of 2D analysis.

It is important to note that the system is presented as a decision support tool for physicians, not as a replacement for medical judgment. It provides an additional probability assessment that can assist in the diagnostic process.

Interested in a Custom AI Solution for Your Medical Challenges?

We specialize in developing AI systems for the medical field that combine technological innovation with a deep understanding of clinical needs. Let's create a solution together that will improve diagnosis, treatment, and quality of life for patients.

Contact Us Today
×

Subscribe to Our Newsletter

Receive updates on news, articles, and events in the AI field directly to your inbox.